咳嗽作为一种常见症状,病因有很多种,但是有些慢性咳嗽总是延绵不绝,近期 NEJM 杂志上刊登了 Damaraju 博士等提供的长达多年的未解决的咳嗽一例。患者病程很长,诊治过程带给我们不一样的启迪。
咳嗽来就诊,诊断未明确
患者 63 岁白人老年男性,因咳嗽 2 年入门诊治疗。咳嗽为干咳,夜间加重。咳嗽始于患者去南美旅途的一次上呼吸道感染。家庭医生为患者开具抗生素,但是症状没有改善,之后患者进行了联合雾化(氟替卡松和沙美特罗)吸入,症状稍稍缓解。
患者来门诊治疗前有至少 5 年的间断性关节痛和肌痛,和 2 年的夜间盗汗(目前该症状已经消失)。关节痛出现在患者颈部、双肩、腰部、双手、髋部和踝关节,每次发作时间约 2 周,之后完全缓解。患者最开始出现该症状时曾就诊于风湿科。
相关检查包括抗核抗体(风湿因子、可提取的核抗原,抗环瓜氨酸肽抗体)和 HLA-B27 均为阴性。结核菌素实验(-),胸片和腹部超声均未见明显异常。其他病史包括 2 年的双下肢凹陷型水肿(静脉淤滞导致),因此患者使用加压弹力袜。无其他病史,患者从未吸烟,极少量饮酒,不饲养宠物。患者仅因需要服用布洛芬和接受气雾剂治疗。
肺功能检查,包括流速-容量曲线都是正常的。乙酰甲胆碱激发试验阴性,吸入 16 毫克每毫升之后,FEV1 下降了 9%。胸部 CT 显示轻度支气管扩张,未见其他异常。
患者慢性咳嗽超过 8 个月,即可定义为慢性咳嗽。最常见的原因上呼吸道咳嗽综合征(过敏、感染等)、哮喘和胃食管反流病。考虑到患者无过敏史或者鼻炎,所以上呼吸道咳嗽综合征可能性小。布洛芬可能会诱发哮喘患者气道痉挛或者鼻息肉患者鼻黏膜充血。患者的关节痛和肌痛原因不明,没有发现患者有蝶形红斑或者肺门淋巴结肿大。若患者示哮喘,经过雾化吸入糖皮质激素之后应该明显缓解。
排除以上疾病后,患者最可能是胃食管反流引起的咳嗽。应该行 24 小时食管 PH 监测。PPI 治疗应该是有效的。患者拒绝行 24 小时食管 PH 监测。但是患者尝试了 PPI。遗憾的是患者之后失访。
出现新的症状,再次就诊
3 年后,患者因近 6 个月来的新发症状就诊。这些症状包括强烈疼痛、腹胀、轻微腹泻。腹泻在 6 周之后自发缓解,几个月之后上述症状均缓解,患者自认为是增加膳食纤维的原因。患者出现腹部症状的 2 个月之后,出现腿部剧烈疼痛,甚至无法行走。尽管剧痛在几天内很快缓解,患者的关节痛和肌痛一直在持续。咳嗽一直间断,从未停止,患者认为是自己没有很好地依从服用 PPI 的医嘱导致的。
腿痛发作一个月后,患者出现了长达 2 天的剧烈头痛,同时双颞侧短暂失明。患者被紧急送往急诊。经检查,患者 C 反应蛋白升高(44.7 mg/l, 正常小于 3.0),血沉升高(69 mm/h, 正常小于 25)。患者血红蛋白 13.5 g/dl。白细胞计数 8.7×103/mm3。 中性粒 7.3××103/mm3,单核 0.3××103/mm3,嗜酸性粒细胞 0.2××103/mm3。电解质和肌酐正常。头颅 CT 扫描未见异常。
疑诊为颞浅动脉炎和肌痛。患者开始服用强的松(60 mg/d),并转入风湿科。2 天后头痛缓解,之后的活检为阴性。考虑到患者服用强的松之后神经症状迅速缓解,患者继续该治疗几个月。患者自诉期间关节痛和肌痛显著缓解,咳嗽和外周水肿也有所缓解。之后患者每日 10 mg 维持。但是,患者目前咳嗽和关节痛加重。患者再次转入最开始接诊的胸外科。
患者强的松减量后咳嗽加重,提示患者仍有潜在感染。患者血管活检可能出现假阴性。如果怀疑患者是假阴性,使用激素治疗药慎重,因为糖皮质激素会导致糖耐量异常、感染扩散、骨质疏松、血管坏死等。患者使用激素后病情缓解,诊断性治疗还得继续。
拨开云雾终见光明,whipplei 菌是罪魁祸首
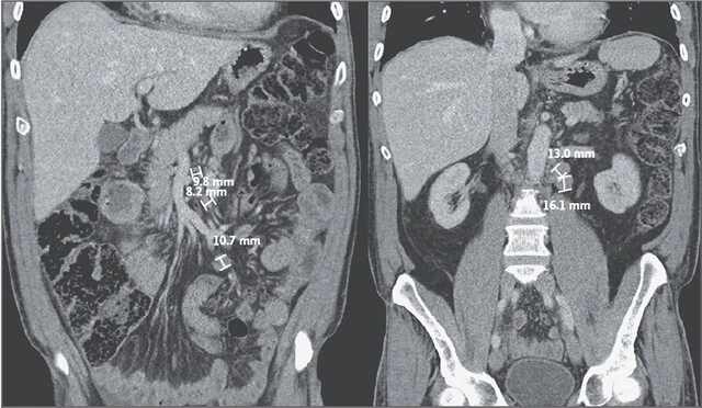
胸部 CT 显示轻度肺间质炎症,双侧胸腔积液。主肺动脉增宽,直径达 30.9 mm。小量心包积液。可见多个腹部巨大淋巴结,在扩张的近端空肠附近,见图 1 。
图 1:冠状面可见增大的,肠系膜旁边的淋巴结,图中已经测量出其具体大小。
CT 上看起来特别像淋巴细胞增生性疾病,或者涉及到空肠的癌症。淋巴结病会随着感染扩散,包括结核,结核菌素实验阴性并不能说明结核不存在,播散型肺结核本来实验就是阴性。只有外周淋巴活检之后才能确诊。
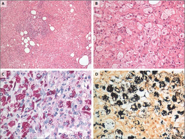
淋巴结活检,发现 G+ 菌,怀疑 whipplei 病。实验室人员通过测序比对 whipplei 菌的 DNA ,确诊患者感染了 whipplei 菌。见图 2 。
图 2 :A 位腹腔淋巴结构造,正常结构已经被多量的巨噬细胞浸润,其中很多泡沫细胞,还可见巨细胞。B 示泡沫状巨噬细胞与嗜酸性胞浆颗粒(苏木精和伊红染色)。C 和 D 显示大量的胞浆内的生物,和 Tropheryma whipplei 菌 的形态学特性一致。
该病患者出现心脏杂音,通常表示感染已累及到心脏,患者行超声心动图检查,见图 3。
图 3 :经食管超声心动图显示主动脉瓣上有团块,7*6 mm。轻度主动脉狭窄,肺动脉压力测不出。
患者血培养阴性,未出现发热等症状。给患者静脉注射头孢曲松钠 2 周,之后口服复方磺胺甲恶唑,每天两次。2 个月之后患者咳嗽、关节痛和肌痛症状都有所缓解。再次行超声心动图检查发现主动脉瓣上赘生物几乎消失,见图 4 。
图 4 :抗生素治疗 6 个月之后已经看不见主动脉瓣上的赘生物
你 所不了解的惠普尔(Whipple)病
惠普尔(Whipple)病(肠源性脂肪代谢障碍)是一种罕见疾病,患病率约为十万分之一。主要在 30-60 岁的男性发病。男女发病比例大约 4:1。欧洲人比其他种群更容易患病。
惠普尔病是由类放线菌感染所引起的一种疾病。肠黏膜几乎会严重受累,还可以扩散到其他器官,如心脏、肺、脑、关节和眼。惠普尔病的症状包括皮肤变黑、关节炎与关节疼痛以及腹泻。严重的消化吸收不良会引起体重下降和贫血。
其他常见症状有腹痛、咳嗽以及由于胸膜炎引起的呼吸性胸痛。在胸膜之间的间隙内可有液体聚积(称为胸腔积液)(见胸膜疾病),胸部中央的淋巴结可长大。小肠或肿大淋巴结的活检结果显示特征性的镜下异常改变,即可诊断惠普尔病。
既往的报道显示惠普尔(Whipple)病主要靠抗生素治疗,抗生素为复方磺胺甲恶唑。既往有使用糖皮质激素治疗的报道,但是效果往往难以持久,有时候还会导致病情恶化。该病不典型的临床特点通常会延误诊断(一般会延误 2-6 年)。虽然该病极其罕见,但是在遇到有持续关节痛,胃肠道症状和其他全身症状时,要考虑该病。
查看信源地址