间质性肺疾病是一组主要累及肺间质的复杂性肺部疾病。其中包括了特发性肺纤维化、过敏性肺炎、结节病、以及结缔组织病相关间质性肺疾病等。
近年来,随着相关研究课题和大型随机对照试验的不断涌现,一些有望改变间质性肺疾病治疗现状的新疗法已开始显现。目前认为,对于某些间质性肺疾病患者而言,其治疗的最好目标,可能仅仅是控制症状;但对另一些患者而言,则有可能实现其病情的稳定、甚至达到缓解。
为了对一些可提示为某种具体间质性肺疾病的特征性病史和体征加以总结,并为相关的非专科医生,提供一些间质性肺疾病诊断和管理方面的经验与建议,来自英国 Portsmouth 市 Alexandra 皇后医院的胸部放射科顾问医师 Wallis 等,在近期的 BMJ 杂志上发表文章,综述了间质性肺疾病在诊断和管理方面的相关问题及研究进展。
间质性肺疾病的发病率
特发性肺纤维化是最常见的间质性肺疾病。据估计,其在英国、欧盟、和美国发病率,分别为每 10 万人口 7.44 例、23.4 例和 63 例。特发性肺纤维化、过敏性肺炎、结节病、结缔组织病相关间质性肺疾病,是人们在临床实践中最常遇到的间质性肺疾病。而其他的间质性肺疾病则较为罕见。
间质性肺疾病的分类
间质性肺疾病是一组具有不同预后和临床表现的异质性疾病。其中,许多疾病具有很高的致残率和死亡率。比如,特发性肺纤维化患者的中位生存期不足 3 年;急性间质性肺炎还可能使患者很快死亡。但也有一些间质性肺疾病(如结节病),可以不治而愈。
将患者早期转诊给专科医生,对于间质性肺疾病的准确诊断、患者预后、及其适当管理策略的实施等,具有重要意义。
但一项针对特发性肺纤维化患者的队列研究显示,相关患者从呼吸困难出现到转诊至专家中心的中位数时间长达 2.2 年。该研究还发现,转诊延迟与患者较高的死亡风险相关;而且,这种相关性与患者的病情严重程度无关。此外,间质性肺疾病的诊断和分类,也会影响患者进入许多目前正在进行中的药物试验的可能性。
间质性肺疾病的分类相当复杂(表 1),这反映了其潜在病因及组织病理学方面的多样性。虽然大部分的间质性肺疾病都是以不同程度的肺间质炎症或纤维化为特征,但也有一些间质性肺疾病,如脱屑性间质性肺炎、肺泡蛋白沉积症等,主要表现为肺泡内的异常物质充盈。
此外,有些间质性肺疾病(如结节病),在病理学上以炎症表现为主;而另一些间质性肺疾病(如特发性肺纤维化),则以纤维化为主,并伴有肺结构的广泛扭曲和肺容积的减少。
表 1. 间质性肺疾病的简明分类方法
间质性肺炎(通常为特发性) 慢性纤维化:特发性肺纤维化,特发性非特异性间质性肺炎 急性或亚急性:机化性肺炎,急性间质性肺炎 吸烟相关的:呼吸性细支气管炎伴间质性肺疾病,脱屑性间质性肺炎 |
不可分类的 |
结缔组织病相关的 类风湿性关节炎,硬皮病,皮肌炎,多发性肌炎 |
药物相关的 氨甲喋呤,博莱霉素 |
吸入暴露 石棉肺,过敏性肺炎,尘肺 |
肉芽肿性疾病 结节病,过敏性肺炎 |
家族和其他遗传综合征 |
其他罕见的疾病 淋巴管平滑肌瘤病,朗格罕细胞组织细胞增生症 |
与间质性肺疾病相关的病因,包括潜在的结缔组织病、职业或环境因素暴露(如石棉、毒性药物、和辐射)等。特发性间质性肺炎是一组主要基于病理发现分类的、不明原因性间质性肺疾病,且于最近才被分为了同一组。特发性肺纤维化即属于该组疾病中最常见的一种(见表 1)。而目前,隐源性致纤维性肺泡炎这一术语,已不再用于描述特发性肺纤维化。
尽管使用了多学科的分类方法,但一些间质性肺疾病仍然难以归类。例如,在一项队列研究中,有 10% 的间质性肺疾病仍然无法分类。而这部分患者的预后较特发性肺纤维化患者为优,且与非特发性肺纤维化间质性肺疾病患者的预后相当。
间质性肺疾病的评估
虽然呼吸困难是大多数间质性肺疾病的典型症状,但该病的早期表现常常缺乏特异性。因此,为了促进其早期诊断,有必要提出一些高度提示为该病的索引性指标。但在某些情况下,间质性肺疾病只能通过胸片上的偶然发现而被疑及。
此外,在转诊到专科医疗机构之前,患者被当做感染或肺水肿治疗的情况也不少见。所以,当患者对抗感染或减轻肺水肿的治疗反应不佳时,应考虑其为间质性肺疾病的可能。
1. 症状评估
详细的病史,不仅能为间质性肺疾病的诊断提供线索;在某些情况下,其还可以初步确定患者所患疾病的具体类型或病因。表 2 列出了与该病相关的关键病史。
表 2. 提示为间质性肺疾病的关键病史
间质性肺疾病的症状:呼吸困难,咳嗽(常为干咳) |
非特异性症状:发热,乏力,体重减轻 |
反流性疾病症状 |
吞咽困难(结缔组织病相关间质性肺疾病) |
关节疼痛,晨僵,眼睛或口腔发干,皮肤改变,雷诺氏现象,光敏性症状(结缔组织病相关间质性肺疾病) |
神经系统症状,皮疹(结节病,结缔组织病相关间质性肺疾病) |
眼部症状(结缔组织病相关间质性肺疾病,结节病) |
家庭史 |
既往史:如自身免疫性疾病,炎症性肠病,和肾脏疾病(如肉芽肿性小血管炎) |
相关风险暴露:包括药物(如呋喃妥因、博莱霉素、氨甲喋呤),职业(如金属、木材、或石棉工人),和环境(如鸟类)暴露 |
患者的个人特征:包括其年龄,性别,及吸烟状况等 |
间质性肺疾病最典型的症状为呼吸困难。而且,其呼吸困难发展的时间轨迹,对于区分患者的疾病类型,会有一定的帮助。例如,某些间质性肺疾病(如机化性肺炎或急性间质性肺炎)的呼吸困难,可以快速出现;但更多类型间质性肺疾病(如特发性肺纤维化)的呼吸困难,常常表现为隐袭性出现的进程,且发展时间往往超过一年。
年龄对于患者疾病类型的鉴别也有重要意义。例如,有些间质性肺疾病(包括过敏性肺炎、结缔组织病相关间质性肺疾病),主要发生于 50 岁以下的患者。而特发性肺纤维化患者的发病年龄大多介于 60-70 岁之间。
此外,大多数结节病患者的发病年龄介入 25-40 岁之间,但其在老年人群中也不罕见。如,日本的一项研究就曾发现,结节病的发病呈双峰分布,约 30% 的患者是在 50 岁以后发病。
咳嗽是间质性肺疾病的常见症状,且常常表现为干咳,并可因胃食管返流的存在而加剧(返流本身也被认为是间质性肺疾病的发病因素之一)。患者可能会感到全身不适、和身体欠佳。这在那些存在潜在结缔组织疾病和血管炎的患者、及一些结节病患者中,更为明显。
此外,相关患者还可能存在与结缔组织病相关的症状,其中包括雷诺氏现象、干燥症状(眼睛干涩、吞咽困难)、指端硬化、关节痛等。
咯血是间质性肺疾病的少见症状,其出现,常提示患者存在感染、肺栓塞、肿瘤、或肺血管炎等并发症。
对于已知患有结缔组织病的患者,如果其呼吸道症状出现加重,应将其转至呼吸科专家处寻求帮助。但肺疾病也可能成为那些先前没有结缔组织病临床特点患者的首发表现(如,类风湿性关节炎),而其关节症状可能会较晚出现;所以,对此类患者,尤其是那些 CT 显示为普通型间质性肺炎的患者,需要积极寻找其是否存在结缔组织病相关的线索。
吸烟不仅与特发性肺纤维化相关,其与呼吸性细支气管炎伴间质性肺疾病、以及罕见的间质性肺疾病(如朗格罕细胞组织细胞增生症、及脱屑性间质性肺炎)等,也存在关联;此外,吸烟还容易造成间质性肺疾病与肺气肿的共存。
有回顾性研究发现,胃食管反流病与肺纤维化的发病机制有关;并提示反流所致的反复误吸,可能会导致间质性肺疾病的发生或加重。所以,对间质性肺疾病患者,应仔细询问其有无胃食管反流病的症状,包括其非酸反流等。
2. 药物与相关危险因素暴露的评估
应详细了解患者在药物、职业、和其他危险因素方面的暴露史。表 3 列出了与过敏性肺炎相关的几种重要职业和环境危险因素。
表 3. 与过敏性肺炎相关的职业和环境因素
职业因素 1.难以枚举:其中包括“农民肺”(通常为嗜热放线菌和曲霉菌引起)、和“饲鸟肺”(检查鸽子、相思鹦鹉、或鹦鹉沉淀抗原) |
环境因素 1.吸入水雾化的变应原,如游泳池、热水浴缸、空调机、加湿器水雾。其内的过敏原包括嗜热放线菌、曲霉菌、肺炎克雷伯菌、和棘阿米巴属微生物等 2.羽绒床上用品:应询问患者是否购置并使用了羽绒被和羽绒枕头等用品 3.家中呈高湿度环境模式或经常在花园内接触堆肥(曲霉菌属细菌) |
很多处方药、非处方药、以及非法药物,都存在肺毒性(表 4)。在开始或确定为患者使用新的相关药物时,应该告知患者相关的风险,并注意评估其呼吸道症状的发展状况。药物所致肺毒性的发生机制包括:肺泡受损、并进展为纤维化(胺碘酮、博来霉素等),过敏反应(氨甲喋呤等),或机化性肺炎(呋喃妥因等)。
表 4. 已知可引起肺毒性的药物
治疗类风湿性疾病的药物:氨甲喋呤(即使是长期用药者,也可以在其剂量或剂型改变后发生肺毒性反应),金制剂, 来氟米特,柳氮磺胺吡啶,青霉胺 |
化疗药物:博莱霉素,苯丁酸氮芥,酪氨酸激酶抑制剂(如,伊马替尼),环磷酰胺 |
生物制剂:抗肿瘤坏死因子(依那西普,英夫利昔单抗) |
选择性5-羟色胺再摄取抑制剂:西酞普兰,氟西汀 |
抗生素:呋喃妥因,头孢菌素类 |
心脏药物:胺碘酮,血管紧张素转换酶抑制剂,他汀类药物 |
其他:滑石粉,非法药物(包括可卡因、以及用来切割许多药物的滑石粉),硫唑嘌呤,干扰素 |
任何其他的药物都有可能引起肺毒性。当有疑问时,可查阅相关网站 |
鉴于有些此类患者,在停用或改换相关的药物后,其肺毒性可完全消退,所以,当怀疑患者的间质性肺疾病是由药物所致时,最好及时将其转至专科医生处诊治,以便及时停药或换药。
3. 家族史评估
间质性肺疾病的发病机制相当复杂。目前已有证据显示,遗传因素和环境因素的强烈相互作用,与患者的发病相关。例如,一些罕见的遗传综合征(如 Hermansky-Pudlak 综合征)和该病的发生密切相关;一些间质性肺疾病在特定的种族群体中更常见(如黑人结节病的发病率要高于白人族群);还有些间质性肺疾病具有家族性等。
家族性间质性肺炎是指,患者家族中有两个或更多的家庭成员患有某种特发性间质性肺炎。据研究,有 40% 以上此类家庭中的受累成员,存在多种类型的纤维化,表明其具有同样的遗传易感性。此外,至少有 20% 的特发性肺纤维化患者存在相关的家族史。
对间质性肺疾病(尤其是特发性肺纤维化)遗传基础的认识,具有重要临床意义。其或将使相关疾病的临床基因检测、及其前瞻性筛查,成为可能。
4. 体征评估
双侧肺底部细小的吸气末爆裂音,是间质性肺疾病患者肺部检查时的最典型体征,但肺部听诊也可能有其他的发现。例如,过敏性肺炎伴发毛细支气管炎的患者,可出现高调的吸气末哮鸣音。朗格罕细胞组织细胞增生症、及淋巴管平滑肌瘤病等合并囊性肺疾病的患者,可能出现气胸体征。
结缔组织病相关间质性肺疾病、及淋巴管平滑肌瘤病患者,有时可出现胸腔积液(结节病患者偶尔也会出现)特征。而类风湿性关节炎、系统性红斑狼疮患者,有时可闻及胸膜摩擦音。此外,尽管结节病患者的病情有时很严重,但其胸部体征往往相对较少。
间质性肺疾病患者还可有多种肺外体征存在。据研究,杵状指可见于半数以上的特发性肺纤维化患者,且常与患者较差的预后相关。但其也可见于其他的间质性肺疾病,如脱屑性间质性肺炎、或存在肺癌等并发症的患者。结节病患者一旦出现杵状指,常表示其存在进行性加重的严重肺纤维化。
一项荟萃分析发现,患有结缔组织病相关间质性肺疾病的白人患者,具有较高的肺动脉高压发生率。其相关的体征包括,明显的肺动脉和肺静脉波动、第二心音增强、二尖瓣和三尖瓣听诊区的反流性杂音、以及外周水肿等。此外,有些间质性肺疾病具有更高的心脏受累风险,其中包括结节病(心肌病合并传导障碍)和结缔组织病相关间质性肺疾病(心肌炎、心包炎、心包积液)等。
结缔组织病和风湿病所致的肺纤维化患者,可存在多种皮肤方面的表现。此外,结节病患者的结节性红斑、皮肌炎患者的淡紫色皮疹、以及硬皮病患者的钙质沉着症等,在临床上也较常见。表 5 列出了间质性肺疾病患者的其他查体表现。
表 5. 间质性肺疾病的关键体征
双肺底部吸气末的爆裂音(纤维化) |
吸气性哮鸣音(过敏性肺炎) |
杵状指 |
胸腔积液(结缔组织病,淋巴管平滑肌瘤病,结节病) |
肺动脉高血压(特别是结缔组织病):可见肺动脉(A)和肺静脉(V)波动,三尖瓣或肺动脉瓣返流杂音,外周水肿 |
关节炎(结缔组织病,结节病) |
皮肤体征:结节性红斑(结节病),雷诺现象/指端硬化/毛细血管扩张症(系统性硬皮病) |
淋巴结肿大和肝脾肿大(结节病) |
神经系统体征(结节病,血管炎,结缔组织病) |
眼部体征(结节病,结缔组织病) |
此外,通过查体,还可以对患者的病情严重程度(以紫绀程度为特征),做出初步的判断。
辅助检查的选择
1. 初步的辅助检查
对于怀疑为间质性肺疾病的患者,应及时将其转至专家服务中心就诊。但基层医生在转诊前,可以先做一些初步的辅助检查,以便于相关专家对患者的病情及并发症,做出快速的诊断与评估。
常规的血液检查,可以为医生提供支持其炎症或合并因素的证据,如结节病患者的高钙血症等。英国胸科协会指南建议,应将全血细胞计数、尿素和电解质检测、肝功能试验、血钙水平、血沉和 C 反应蛋白检测等,作为相关患者初步的辅助检查。而其他辅助检查的选择,一般应根据患者的临床状况,由间质性肺疾病专科医生来安排。
尿液分析对于怀疑为血管炎的患者很有帮助。间质性肺疾病患者在社区医院进行肺功能检查时,可表现为限制性通气障碍,但其也可能表现为正常或阻塞性通气障碍。这是因为,许多肺气肿患者也可出现纤维化,而这 2 种具有截然不同生理影响疾病的共存,对患者肺功能的影响很难确定。但有研究认为,肺气肿与纤维化并存患者,更容易出现肺动脉高压。所以,在社区医院进行的肺功能检查,对于患者鉴别诊断的意义不大。
2. 影像学检查
(1) 胸部 X 线拍片:胸片诊断间质性肺疾病的敏感性与特异性均很差,但作为一个简便易行的检查手段,其在确定患者潜在疾病的线索方面,仍具有不可忽视的作用。对系列胸片的复习,有助于明确患者是急性还是慢性病程。病变在肺内的分布模式(如上肺或下肺为主),有助于识别某些特定的疾病或其潜在的病因,如石棉胸膜斑等。
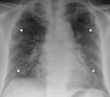
此外,胸片还有助于肺水肿或肺部感染的排除、以及恶性肿瘤等并发症的筛查。特发性肺纤维化的典型胸片,多表现为网格状改变和肺容量的降低(图 1)。

图 1. 胸片显示特发性肺纤维化患者的肺容量降低和网格状改变(*)
(2) 高分辨率 CT:目前,高分辨率 CT 是疑似间质性肺疾病患者的标准辅助检查。在某些情况下(例如有病史支持),该项检查可以为医生提供明确的诊断,而不需进行经支气管镜或手术活检。
特发性肺纤维化患者的高分辨率 CT 检查结果,多表现为「普通型间质性肺炎」的肺纤维化模式,常并伴有蜂窝状改变。而这类蜂窝状改变,主要是因为邻近肺泡受到纤维化破坏后,继发了远端细支气管的囊状扩张所致。
但普通型间质性肺炎并非是特发性肺纤维化的独有表现,其在结缔组织病相关间质性肺疾病、石棉肺、和结节病等其他间质性肺疾病中也可见到。此时,患者的临床特征及其相关的影像学表现,如石棉肺患者的胸膜斑块、硬皮病患者的食管扩张等,或有助于区分其潜在的病因。
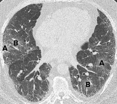
放射科医生可能将相关病变在高分辨率 CT 上的表现模式,描述为以下类型,即:典型的普通型间质性肺炎、可能的普通型间质性肺炎、或非典型的普通型间质性肺炎,这些分型对于临床医生的决策会有一定的帮助。图 2 给出了临床最常见间质性肺疾病,在高分辨率 CT 上的典型表现。图 3、图 4 分别为普通型间质性肺炎、和非特异性间质性肺炎的典型 CT 图像。

图 2. 几种最常见间质性肺疾病在高分辨率 CT 上的典型表现(简图)。上 1 格,特发性肺纤维化之普通型间质性肺炎:下肺为主的胸膜下网格状改变、牵引性支气管扩张、以及伴有少量磨玻璃影的蜂窝状改变。上 2 格,非特异性间质性肺炎:下肺为主的胸膜下磨玻璃样改变和细网状改变、在纤维化期可伴有牵引性支气管扩张,通常无蜂窝状改变。
上 3 格,过敏性肺炎:急性型表现为,小叶中心性或局域性的磨玻璃影和空气潴留(马赛克衰减征),慢性型表现为,网格状的纤维化改变、牵引性支气管扩张、可能存在蜂窝状改变。下 2 格,结节病:纵隔和双肺门淋巴结肿大、肺部淋巴周围型微结节(perilymphatic nodularity);如有纤维化存在,多位于肺门周围、呈块状或蜂窝状)。
下 1 格,机化性肺炎:结节或实性影,通常为小叶周围型,变异性较大。

图 3. 一位特发性肺纤维化患者的轴位 CT 扫描图像。显示肺纤维化伴胸膜下蜂窝状改变(A)、和牵引性支气管扩张(B),为普通型间质性肺炎的典型表现。

图 4. 一位非特异性间质性肺炎患者的轴位 CT 扫描图像。显示磨玻璃影(A)、和牵引性支气管扩张,无蜂窝状改变。
3. 其他专科级别的辅助检查
相关患者应接受包括气体交换指标在内的全面性肺功能检查。这类检查的系列结果,将有助于评估患者对于治疗的反应,及其病情的进展。因此,其临床价值通常要高于静态肺容量评估的价值。间质性肺疾病患者肺功能检查的典型模式是限制性通气障碍;但一些吸烟者可能共存有气道疾病,因而,在这些患者中,限制性通气障碍并不常见。
此外,结节病患者也可能因支气管受累,而表现为阻塞性通气障碍模式。特发性肺纤维化患者基线时较低的气体交换指标,提示其预后较差。
六分钟步行试验可以为患者的肺康复治疗,提供一个有用的基线指标;并有助于特发性肺纤维化患者疾病严重程度、及其长期预后的评估。其他的辅助检查,可根据患者的疑似诊断来作出安排。例如,相关的血清学试验有助于确定过敏性肺炎、潜在或新发结缔组织病患者,对于变应原的反应(表 6)。
表 6. 进一步的血清学检测。ANCA = 抗中性粒细胞胞浆抗体
血清学标志物 | 意义 |
类风湿因子、抗核抗体Jo-1和Scl-70 | 结缔组织病 |
特异性血清IgG抗体 | 过敏性肺炎 |
肌酸激酶、肌红蛋白 | 肌炎 |
免疫球蛋白 | 免疫缺陷性疾病 |
胞浆型ANCA、核周型ANCA、抗肾小球基底膜抗体 | 血管炎 |
然而,对于过敏性肺炎患者的变应原激发试验,一般不需要进行,其也不属于该病的标准辅助检查。
间质性肺疾病的确诊方法
在目前,间质性肺疾病的标准诊疗团队,应该是一个由呼吸内科医生、胸部放射学家、病理学家、和专科护士等组成的多学科小组。通常,其典型的诊断策略是确认间质性肺疾病的存在;在可能的情况下,确立相关的诊断(重点是排除其潜在的病因)、疾病的阶段、并讨论其处理目标(图 5)。

图 5. 间质性肺疾病的诊断流程
有些患者的病情更为复杂,即使经过了多学科团队的集体讨论,也难以取得一个令人自信的诊断。在这种情况下,应考虑其通过支气管镜或外科手术进行肺活检的获益/风险比。为了制定合理的治疗策略,诊断团队设法为患者拿出一个其间质性肺疾病类型方面的有效诊断(working diagnosis)是很有必要的。
但并不是所有患者的诊断,都需要经组织学确认;这对于那些临床和影像学特点吻合的患者来说,更是如此。此外,发病时年龄较高的患者,被诊断为特发性肺纤维化的可能性也相应增加。
1. 支气管镜检查
经支气管镜检查获取的标本,可用于排除感染、进行细胞学分类或组织学评估。该检查的安全性较高,经支气管镜活检后的主要并发症为气胸或出血。单纯的支气管肺泡灌洗液细胞学分类检查,一般不具有诊断价值。但如果其内的淋巴细胞增多,则支持患者可能为过敏性肺炎或结节病。此外,支气管肺泡灌洗液还可用于对恶性肿瘤细胞进行筛查。
美国胸科协会建议使用高分辨率 CT,来选择患者的合适活检部位。据研究,支气管内活检或经支气管活检,有助于结节病的诊断。但因其所能取得的标本太小,所以,在其他间质性肺疾病的病理分类诊断、及肺纤维化的诊断方面,这类活检的价值有限。
经支气管镜活检不是疑似特发性肺纤维化患者的适应症。但有些疑似特发性肺纤维化的患者,可能需与慢性过敏性肺炎进行鉴别,在这种情况下,支气管肺泡灌洗常有重要的鉴别诊断价值。
2. 外科肺活检
外科肺活检可以为区分间质性肺疾病的具体类型,提供适当的诊断标本。但值得注意的是,即使是由专业的病理学专家对相关标本进行评估,其得出的诊断结果,在不同专家、或同一专家自身之间,也可能存在很大的变异。
在拟行外科肺活检前,必须先评估其获益/风险比。这对于那些易发生呼吸困难、病情加重、肺动脉高压、和其他合并症的患者,更是如此。一项 Meta 分析显示,开胸肺活检、或经电视胸腔镜手术肺活检后的 30 天死亡率,分别为 4.3%、和 2.1%。这意味着,在建议患者接受外科肺活检前,临床医生一定要经过慎重的思考。
尽管外科肺活检的死亡率会随着患者年龄的增加而增加。但有些类型的间质性肺疾病,只有经过外科肺活检才有可能获得确诊。
间质性肺疾病的治疗
间质性肺疾病的治疗目标,取决于患者疾病的类型、及其临床表现。目前,许多间质性肺疾病(如特发性肺纤维化)的治疗目标,只能是减缓或稳定其疾病的进展。但也有一些间质性肺疾病(如呼吸性细支气管炎伴间质性肺疾病),具有自限性,并可能完全康复。
约 10% 的间质性肺疾病是不可分类的。对于这部分患者,应由多学科的诊疗团队为其做出工作诊断,并明确其务实的治疗和监测方法。此外,相关治疗计划中还应包括支持疗法、肺康复、对症治疗(如镇咳、抗焦虑等)、及供氧等方面的内容。
1. 常见类型间质性肺疾病的治疗概要
(1)特发性肺纤维化
在临床实践中,特发性肺纤维化约占到所有间质性肺疾病的半数以上;而且,其预后比恶性肿瘤更糟。
该病以往的治疗策略,包括糖皮质激素、环磷酰胺、三联治疗(强的松、硫唑嘌呤、和 N-乙酰半胱氨酸)、或 N-乙酰半胱氨酸单药治疗等,均已被证明是无效或有害的。
例如,一项随机对照试验显示,N-乙酰半胱氨酸对于特发性肺纤维化的疗效,并不优于安慰剂;因此,其已不再是治疗该病的推荐选项。但 N-乙酰半胱氨酸和其他粘液溶解剂,有时仍被用作患者祛痰时的辅助治疗。
目前,有关特发性肺纤维化新治疗方案的药物试验正在不断涌现。有些该病患者或能因为进入了此类试验而受益,进而使其难以控制的肺功能下降速率有所减缓。
吡非尼酮是目前在英国唯一获批用于该病治疗的药物,并已获得了美国国家卫生研究院和卓越护理机构(NICE)的认可。NICE 建议将其用于那些肺活量介于 50%-80% 预计值之间的患者。但该药价格昂贵,应用时需进行肺功能监测。其副作用包括恶心、消化不良、疲劳、和光敏性等。
随机对照试验表明,该药不能逆转患者的肺纤维化,但能延缓其肺功能测试时的肺功能下降速率。此外,来自新近临床试验的证据表明,吡非尼酮还能使患者的死亡率出现中等程度的下降。根据 NICE 指南(该指南在英国和世界各地均被广泛采用)的建议,如果患者的肺功能在一年的治疗时间内,较基线时降低了 10% 或更多,即应停止其吡非尼酮治疗。
尼达尼布(Nintedanib)是一种新近获批的胞内酪氨酸激酶抑制剂,具有抗纤维化和抗炎特性。临床试验表明,该药也可延缓特发性肺纤维化患者的肺功能下降速率,且效果与吡非尼酮类似。但其目前还没有获得 NICE 的认可。该药的主要副作用是腹泻,并禁忌与抗凝血剂合用。
此外,用药期间也需进行肺功能监测。其他正在进行 2b 期临床试验的相关药物包括 simtuzimab、和 lebrikizumab 等,这些都使特发性肺纤维化的临床治疗前景更加看好。
(2)结缔组织病相关间质性肺疾病
结缔组织病的肺部受累表现,包括了肺纤维化、肺血管疾病、血管炎、及胸腔并发症等。
尽管结缔组织病患者的肺部并发症负担相当大,但在结缔组织病相关间质性肺疾病的治疗方面,目前并无非常有力的证据支持。
相关的随机对照试验,只涉及了环磷酰胺在硬皮病患者中的使用。其中的一个试验显示,环磷酰胺对受试者的肺功能、和健康相关的生活质量,可产生有统计学意义的中度改善作用。尽管相关的第二个试验,没有显示出相关指标存在有统计学意义的改善,但受试者的用力肺活量,存在改善的趋势。而且,患者对治疗有很好的耐受性。
免疫抑制剂是治疗此类患者的首选药物。尽管应用这类药物存在风险,但在目前,可用于指导人们优化其初始治疗及疗程的证据,仍很有限。
糖皮质激素和可节制激素用量的药物(包括硫唑嘌呤和霉酚酸酯等),通常适用于轻症患者;而环磷酰胺则被更多地用于了严重或顽固性病例。
对于结缔组织病相关间质性肺疾病的治疗而言,还应注意其药物所致间质性肺疾病的问题。几乎所有用于结缔组织病治疗的药物,都有可能引起间质性肺疾病。其表现形式可包括肺部浸润性改变、潜在肺纤维化的恶化、以及可能会危及患者生命的急性肺泡损伤等。因此,对相关患者应保持高度警惕,并进行严密的监测。
(3)结节病
结节病是一种多系统肉芽肿性炎性疾病,好发于较年轻的成年人。患者常有胸外症状,如结节性红斑等。
结节病容易侵犯患者的呼吸系统。一项美国的大型队列研究显示,90% 以上的患者存在胸部受累。在患者还没有觉查到患病的情况下,其病情可能已从 1 期阶段(双侧肺门淋巴结肿大),进展为 2 期或更晚期阶段(肺实质受累)。
1 期结节病的表现,通常为双侧肺门、及右气管旁淋巴结肿大(Garland 三联征)。2、3 期结节病的肺部肉芽肿性浸润,可表现为肺部淋巴周围型微结节。有多达 10% 的结节病,可进展至肺纤维化期(4 期)。但其肺纤维化的程度和类型,与特发性肺纤维化相比较,具有更多的变异性。
英国胸科协会指南建议,对于无症状的 1 期结节病患者;以及无症状、但肺功能检查有轻微异常的 2、3 期结节病患者,不需进行治疗。
自 20 世纪 50 年代以来,糖皮质激素已被列为了结节病的一线治疗。对于那些使用激素治疗后无法减量、存在严重副作用、或疗效欠佳的患者,可能还需使用其他的免疫抑制剂,但目前尚缺乏相关的循证依据。甲氨蝶呤是最常用于节制激素用量的此类药物,其治疗响应率可高达 60%。
其他的此类药,还包括硫唑嘌呤、羟氯喹、或肿瘤坏死因子-α抑制剂(如英夫利昔单抗)等,其也已被用于一些顽固性结节病患者的治疗。吸入糖皮质激素可能有助于控制患者难以忍受的咳嗽、或其相关的气道疾病;并避免一些与口服高剂量激素相关的副作用。但一项针对吸入糖皮质激素使用的系统评价表明,其治疗效果有限、且缺乏一致性。
(4)过敏性肺炎
过敏性肺炎(外源性过敏性肺泡炎)是因为患者对吸入抗原产生了过度免疫反应,所致的一种疾病。其可发生于任何年龄,并可表现为急性、亚急性、和慢性等多种类型。慢性过敏肺炎,在间质性肺疾病中的占比多达 20%。
此类患者的治疗,应以识别和去除致敏原为主。但许多患者的致敏原很难确定,要将其去除(尤其是那些无处不在的环境致敏因素),则更加困难。所以,对于这类患者,常常需要使用糖皮质激素来减轻其症状。目前,还没有针对慢性过敏肺炎治疗的对照试验。有研究认为,对于难治性病例,静脉注射环磷酰胺可能有效;此外,也有一些使用生物制剂治疗成功的案例报道。
肺康复治疗
有良好的证据表明,肺康复治疗对于那些存在气喘的患者有益。例如,一项荟萃分析已经证实,间质性肺疾病患者可从肺康复治疗中获益。此外,也有随机对照试验显示,该项治疗可显著增加相关患者六分钟步行试验时的行走距离。但令人遗憾的是,肺康复治疗难以普遍开展,而且,在许多地区,其仅限用于可取得更好疗效的慢性阻塞性肺疾病的治疗。
肺康复治疗的作用,主要是提高患者的非呼吸肌力量及其体能,并进而改善其步行距离。此外,在康复治疗期间,医生还可以为患者提供社会心理支持、营养建议、以及戒烟建议等,从而有利于其病情的改善。
肺移植治疗
肺移植治疗的目的是提高患者的生存率及其生活质量。目前认为,如果不进行肺移植治疗,间质性肺疾病患者的五年生存率将低于 50%,而肺移植则可为那些经过了仔细选择的患者提供生存获益。据估计,因特发性肺纤维化而接受肺移植的患者,占到了全球范围内肺移植患者的 23%。
结缔组织病相关间质性肺疾病,在肺移植适应症中的占比不足 4%;而其他间质性肺疾病在肺移植适应症中的占比更低。
实施肺移植时,患者的选择非常重要。相关指南建议,当特发性肺纤维化患者的用力肺活量在 6 个月的时间内减少了 10% 以上、且氧饱和度降至 89% 以下或其在休息状态下需要吸氧时,即应考虑其进行肺移植的可能。
此前一项针对 105 例特发性肺纤维化患者的单中心回顾性研究已发现,氧饱和度在上述程度以上或以下患者的五年生存率,分别为 20%、和 60%。此外,对于那些无特发性肺纤维化的间质性肺疾病患者而言,如果其用力肺活量在正常值的 50% 以下,或存在低氧血症时(氧分压<55 mmHg),也应考虑其肺移植的可能。
国际心肺移植协会建议,接受肺移植患者的年龄上限应为 65 岁。但 1988-2011 年间的美国注册报告显示,超过该年龄上限患者接受肺移植后的效果和存活率,都在逐渐改善。肺移植治疗的禁忌症包括分枝杆菌感染、没有长期戒除的烟草和药物滥用、新发的恶性肿瘤、无法治疗的重要非呼吸器官损伤、以及肥胖等。
对于接受肺移植的特发性肺纤维化患者(其中半数为双肺移植)而言,其未经统计学调整的术后三个月时死亡率为 15%;而那些术后存活时间超过 1 年患者的五年生存率,则可达到 60%。通常,在接受肺移植后,大多数患者的日常活动能力都会出现很大的改善。但在等待肺移植的过程中,有 1/6 的患者,会在其合适的供体器官确定之前,即已死亡。
临终关怀期应注意的相关问题
对间质性肺疾病(尤其是特发性肺纤维化)患者的管理,常常会陷入临终关怀的境地。有些患者因为就诊太迟,已不适合进行抗纤维化治疗。此时唯一能做的,就是为其提供以对症治疗为基础的支持性服务。
从治疗一开始,就对间质性肺疾病患者的治疗期望进行关注,是很重要的。这是因为,即使是那些适合进行特异性治疗的患者,其治疗效果大多也只能达到中度有效的水平。由于呼吸困难,许多患者患者会感受到越来越多的活动受限,并对自己的预后有所了解。但相关医生仍有必要为患者做好细致的解释工作,并提供一些针对其病情的具体文献服务和专业支持。
此外,专科护理支持对于间质性肺疾病患者至关重要。而针对特定疾病患者的支持团体(如英国肺脏基金会)和慈善行为(如英国的肺纤维化行动),对于这类患者,也会有一定的帮助。
要点回顾
1. 间质性肺疾病是一组复杂的疾病,但过敏性肺炎、特发性肺纤维化、结缔组织病相关间质性肺疾病、结节病,占到了临床实践中所遇这类疾病的大多数。由于许多患者的早期表现都缺乏特异性,所以,为了促进该病的早期诊断,有必要对一些高度提示为间质性肺疾病的可疑临床表现加以警惕。
2. 许多间质性肺疾病的症状和体征都缺乏特异性,因此,有必要提出一些高度怀疑为间质性肺疾病的索引性指标。
3. 双肺底的爆裂音(crepitations)是间质性肺疾病的典型体征,其有时可被误诊为肺水肿。但间质性肺疾病多缺乏肺水肿的其他表现,可资鉴别。此外,当患者对抗感染或减轻肺水肿的治疗无反应时,应怀疑其为间质性肺疾病的可能性。
4. 将间质性肺疾病患者早期转诊给专科医生,有利于其诊断和管理的优化,并改善患者的预后。而社区内的检查(包括胸片和血清学检测等),可促使此类患者的转诊更为便捷和高效。
5. 症状控制、职业治疗(occupational therapy)、及姑息治疗等,也是间质性肺疾病管理时的重要方面,而这往往需要征询多个相关机构和专家的意见。
查看信源地址