来自西班牙马德里Carlos Rey Juan医院的Asenjo医生在近期出版的NEJM杂志上报道了一例少见病例,供大家共同学习。
67岁男性患者,因左侧胸痛10天,于急诊就诊。胸痛始于一次剧烈咳嗽,疼痛一直持续存在,服用止痛药后,疼痛未见缓解。无呼吸困难。患者留意到左下胸部出现肿胀。有高血压、需要持续性正压通气的慢性阻塞性肺疾病病史,有吸烟史。无胸部外伤或手术史。
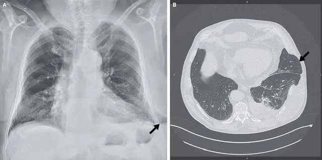
体查可见双侧胸壁不对称,肿胀部位可触及一柔软、可缩小的肿块,伴触痛。该肿块吸气时体积增大,呼气时体积减小。胸片可见单侧肺实质膨出于胸腔之外(图A,箭头所指)。CT检查可见左下肋间肺疝,伴左肺中度胸腔积液(图B,箭头所指)。

图.胸部影像学改变。胸片可见单侧肺实质膨出于胸腔之外(图A,箭头所指)。CT检查可见左下肋间肺疝,伴左肺中度胸腔积液(图B,箭头所指)。
该患者接受疝修补术,手术成功。
查看信源地址