慢性咳嗽很常见,但由罕见病因引起的慢性咳嗽你见过吗?加拿大 Damaraju 教授在 NEJM 杂志上发表的一篇病例报告,让我们对慢性咳嗽的病因有了新认识。
63 岁无吸烟史白人男性,因咳嗽 2 年就诊。咳嗽由一次上呼吸道感染后到南美旅游诱发。患者表现为干咳,夜间加重。患者曾使用抗生素治疗,症状无缓解;随后患者接受吸入沙美特罗和氟替卡松联合治疗,症状稍有改善。
患者有间歇性关节痛和肌痛病史 5 年,夜间盗汗 2 年(现已缓解)。关节痛每次发作平均持续 2 周,随后可完全缓解。患者前两年曾就诊于风湿科门诊,抗核抗体(类风湿因子、可提取的核抗原、抗环瓜氨酸肽抗体)和 HLA-B27 检测均呈(-)。结核菌素皮试(-)、胸片以及腹部超声均未见异常。患者极少量饮酒,无饲养宠物。用药史仅为吸入沙美特罗和氟替卡松联合治疗和布洛芬 (必要时) 治疗。
慢性咳嗽最常见的病因有上气道咳嗽综合征、 哮喘和胃食管反流性疾病(Gastroesophageal reflux disease,GERD)。那么,导致患者慢性咳嗽的罪魁祸首究竟是哪一个?
考虑到过敏或鼻炎病史,上气道咳嗽综合征基本排除。
肺功能,包括流速-容量环,均正常。乙酰甲胆碱激发试验(-),吸入 16 mg/ml 的乙酰甲胆碱,FEV1 下降 9% 。胸部 CT 提示轻度支气管扩张,此外未见异常。基于上述结果,哮喘基本排除。
由于患者拒绝 24 小时 pH 监测,因此并不能确定其病因是 GERD。患者同意接受质子泵抑制剂治疗,但期间并未返院复诊。
悬案是否就此终结?事实并非如此!
3 年后,患者因持续 6 个月出现吸气疼痛、膨胀、少量腹泻等新症状就诊。在首次出现胃肠道症状的 2 个月后,患者突然腿疼严重,无法行走。尽管疼痛数天后缓解,但肌痛、关节痛和间歇性咳嗽仍持续存在。期间患者从未减少质子泵抑制剂的用量。腿疼 1 月后,患者出现头疼,持续 2 天,伴间歇性的双眼视力丧失。
患者 C 反应蛋白(44.7 mg/L,正常值 < 3.0 mg/L)和红细胞沉降率(69 mm 小时;正常值 < 25 mm/ 小时)均升高。血红蛋白 13.5 g/dl,白细胞计数 8.7×103/mm3(中性粒细胞 7.3×103/mm3,单核细胞 0.3×103/mm3,淋巴细胞 0.9×103/mm3,嗜酸粒细胞单核细胞 0.2×103/mm3)。电解质和肌酐均正常。疑诊暂时性动脉炎和风湿性多肌痛症。患者接受泼尼松(60 mg/天)治疗。
患者两天后头疼缓解,不再出现视力丧失。数周后临时动脉活检排除血管炎。考虑到患者在服用泼尼松后神经系统症状迅速缓解,因而继续服用数月。慢性关节痛和肌痛显著改善,咳嗽和外周性水肿稍有缓解。然而将药量减至 10 mg/天时,患者咳嗽和关节痛加重。患者再次就诊。

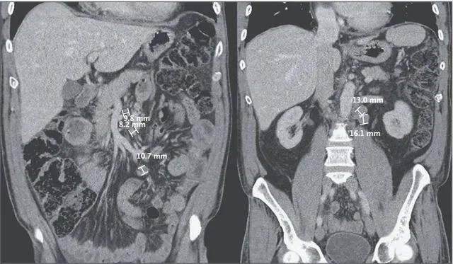
图 1. 腹部 CT。胸部和腹部 CT 扫描可见轻度的间质性肺水肿和少量双侧胸腔积液。主肺动脉增宽,直径为 30.9 mm,伴少量心包积液。腹部广泛的淋巴结肿大,可提示淋巴瘤,同时近端膨胀的空肠局部增厚。
该患者无可触及的外周淋巴结肿大,高度怀疑淋巴瘤,行开腹探查和行淋巴结切除活检。微生物检查提示革兰氏染色阳性菌,随后行实验室检查明确是否患有惠普氏病(Whipple’s disease),同时行 16S 基因序列检测微生物 Tropheryma whipplei ( T. whipplei ) DNA 。
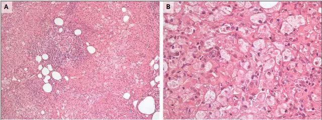
淋巴结活检的病理结果提示肉芽肿性炎症,伴有大量的泡沫组织细胞浸润(图 2)。过碘酸雪夫染色微生物(+),其多形性特征与 T. whipplei 相符。血培养(-)。


图 2. 病理结果。A. 低倍镜可见大量的异常腹腔淋巴结,正常结构为大量的巨噬细胞所覆盖,其中多数为泡沫样,偶有巨细胞(苏木素-伊红染色); B. 高倍镜可见胞浆内有嗜伊红颗粒的泡沫巨噬细胞(苏木素-伊红染色); C. 过碘酸雪夫染色; D. Warthin-Starry 银染色可见胞浆内含有大量微生物,呈多形性,与 T. whipplei 一致)。
对症下药
推荐静脉应用头孢曲松钠 2 周,之后改为口服复方磺胺甲恶唑 2 倍剂量(160 mg 甲氧氨苄嘧啶和 800 mg 磺胺甲恶唑)每天 2 次治疗。泼尼松减量,后停药。
2 周后随访,患者出现收缩期杂音。心脏超声可见左心房二尖瓣表面一长约 7 mm,宽 6 mm 的赘生物,伴轻度主动脉瓣狭窄和中度主动脉瓣功能不全。无法测量收缩期肺动脉压(图 3)。患者无发热,无心脏症状,无心内栓塞的表现。三次血培养均为 (-)。

图 3. 经食管心脏超声。主动脉瓣非冠状尖端可见一活动的赘生物。
心内科医生认为赘生物很可能是惠普氏病的并发症,建议继续使用抗生素治疗。抗生素治疗 2 个月后,患者自述咳嗽、外周水肿、关节痛、肌痛和疲劳感缓解。治疗 6 个月后, 心脏超声提示心脏赘生物消失,但仍有瓣膜关闭不全(图 4)。

图 4. 经胸壁心脏超声。
患者早期一过性的视力丧失可能是心内膜炎栓子脱落所致。患者经抗生素治疗,咳嗽等症状和瓣膜赘生物的消失支持惠普氏病这一诊断。
总结
惠普氏病是一种罕见的慢性感染性疾病,发病率约为百万分之一。该病由环境中常见的微生物 T.whipplei 引起。T.whipplei 通过粪-口传播,常见于污水处理厂的流出物中。该病常见于欧洲血统人群,男性较女性常见(男女比例为 4:1)。所有年龄均可发病,以中年居多。
惠普氏病有多种症状和体征,典型表现为体重减轻(92%),腹泻(76%),关节痛(67%),腹痛(55%),发热(38%),核上性眼肌麻痹(32%),头痛(10%),贫血(85%),淋巴结肿大(60%),心内膜炎(30%,血培养常呈阴性),肺部受累(30-40%,约半数患者表现为咳嗽)。
该病的诊断性检查包括胃肠道内镜和活检。显微镜下的典型特征包括淡黄色的十二指肠粘膜和淋巴管肿胀。PCR 技术的敏感性和特异性均较高,但不能单独用于诊断。免疫组化检查可提高组织学诊断的准确性。 由于此微生物的生长需要数月和特殊的培养方法,因此血培养无助诊断。
在无随机试验的情况下,惠普氏病的治疗很大程度上只能借鉴其他病例的治疗方案。首选方案包括 2 周的头孢曲松钠,随后改为至少 1 年的复方磺胺甲恶唑治疗。对磺胺过敏或仅需要口服治疗的的患者,多西环素与羟化氯喹可作为单用或联合头孢曲松钠和复方磺胺甲恶唑治疗。
该病的罕见及非特异的临床特征常导致诊断延误(有报道为在起病后 2-6 年)。 尽管惠普氏病患者常有咳嗽,但其仍是慢性咳嗽的罕见病因。
查看信源地址