美国科罗拉多大学医学院Foster等学者近期报道了一例罕见原发性肺型鼠疫病例,发表在NEJM上。
病例简介
患者,男性,42岁,因“发热、咳嗽、少量咯血、胸痛伴全身疼痛2天”至当地医院急诊就诊(科罗拉多乡村医院)。患者为急性起病,发病前一般情况良好。患者起病后无口咽部或胃肠道症状、无皮疹或淋巴结肿大。
一个月前患者在河中划皮划艇时不慎溺水,但恢复良好,无任何后遗症。患者既往有胃食管反流症和痛风病史。有20年吸烟史,每天吸烟少于一包。每日饮啤酒2杯,无毒品使用史。平时使用药物为别嘌呤醇和泮托拉唑。
患者母亲有糖尿病和冠心病,父亲有高血压。患者居住于科罗拉多农村,是一名环境工程师,主要工作为评估废弃房屋中石棉拆除情况,包括因2013年因洪水受损房屋。患者近期未曾外出游玩,没有已知的肺结核风险。
专家点评1
基于患者这一系列症状,首先考虑为细菌性肺炎。水源性病原体,如产气单胞菌、假单胞菌或变形杆菌,很少在水暴露一个月后起病;但是丝孢菌属感染好发于溺水人群,若患者存在免疫缺陷,起病也可延迟。
患者工作中常需接触废弃房屋,需要考虑环境暴露因素;但是环境相关疾病一般不会急性起病。基于患者的临床表现,肺结核可能性不大,且患者无肺结核感染相关危险因素。患者工作中接触因洪水受损房屋可能会增加致病真菌和军团菌感染可能性。
患者住院治疗,入院时体温40.2℃(104.4°F),心率:107次/分钟,血压:119/60mmHg,呼吸:38次/分钟,呼吸环境空气情况下氧饱和度:94%。患者牙齿情况良好。听诊:右中肺和右下肺可及罗音。其他体检均正常。
血钠:133mmol/L,血氯:97mmol/L,血肌酐:1.4mg/dL(124υmol/L)。总胆红素:1.4mg/dL(24υmol/L),其余肝功能水平均正常。白细胞计数:22500/mm3,中性粒细胞:87%,淋巴细胞:5%。红细胞压积:44.8%,血小板计数:200000/mm3。
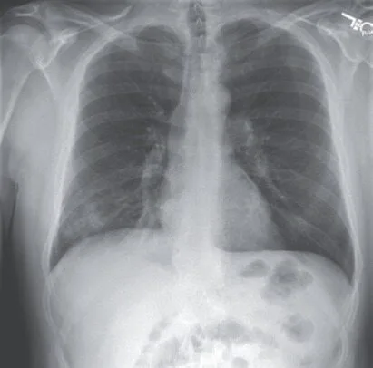
胸片提示右下肺浸润(图1A)。初步考虑为社区获得性肺炎,给予静脉左氧氟沙星治疗(750mg每天一次)。

图1A. 患者住院第1天胸片示右下肺浸润影。
专家点评2
患者体检和实验室检查结果支持细菌性肺炎的诊断。伴随咯血症状的细菌性肺炎常见病原体包括肺炎链球菌、革兰阴性杆菌(尤其是肺炎克雷伯杆菌)以及部分非典型病原体。患者有轻度低钠血症和肝功能异常,结合患者的临床症状,军团菌感染不能除外。
左氧氟沙星是社区获得性肺炎的一线用药,也能覆盖军团菌。考虑到患者因职业原因需经常出入废弃建筑物,因此人鼠共患病,如:钩端螺旋体病、蜱煤回归热和汉坦病毒感染,也不能除外;但是这三种疾病均会出现血小板减少,患者实验室检查不支持这一点。
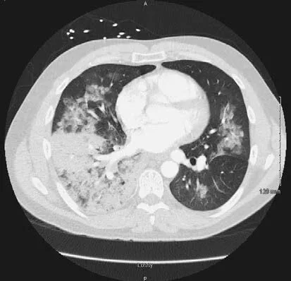
住院治疗2天后患者呼吸困难症状进一步加重,需10L/min面罩吸氧来改善呼吸困难症状。胸部CT显示:双侧磨玻璃影,双侧少量胸腔积液,右肺门隆突下淋巴结肿大(图2)。痰革兰氏染色显示:革兰阴性杆菌。但痰培养显示为呼吸道正常菌群(48小时)。

图2. 患者出现临床症状1天后的胸部CT示:双侧磨玻璃影,部分存在小叶间隔和小叶内线增厚。
入院时行厌氧菌血培养,初步报告为革兰阴性杆菌。考虑到患者不断加重的临床症状,在静脉左氧氟沙星的基础上给予加用万古霉素(1.5g每8小时)和美罗培南(2g每8小时)。
专家点评3
结合患者需氧量不断增加及微生物检查结果,考虑患者为爆发性厌氧菌性肺炎。很多革兰阴性厌氧菌,包括:拟杆菌属、普氏菌属、嘌呤单胞菌属和梭杆菌属,可导致肺部感染,但往往慢性起病。虽然梭杆菌属感染病情进展较快,但往往好发于颈深部组织,继发于咽炎。
左氧氟沙星对于革兰氏阴性厌氧菌治疗无效,这可以解释了为什么在静脉抗生素治疗的情况下疾病仍不断进展。对于这名临床症状不断恶化的患者,给予经验性抗生素“双重”覆盖治疗革兰阴性菌和厌氧菌是合理的。但使用万古霉素没有明确的适应症。
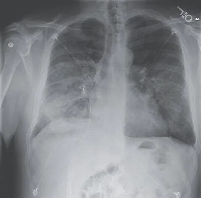
住院第6天,血培养明确为浅黄假单胞菌。未能得到药敏试验结果,因为该病原菌在标准培养介质上生长速度极其缓慢。再次行胸片提示:肺部浸润较前扩大(图1B)。住院第7天,患者呼吸困难加重,需氧量进一步升高。血白细胞计数持续升高至19700/mm3。

图1B. 患者住院第6天胸片显示:两肺浸润影较前加重(右肺比左肺明显)。
血清人类免疫缺陷病毒1型和2型抗体检测阴性,尿军团菌抗原检测阴性。停用美罗培南,改用哌拉西林他唑巴坦静脉注射(4.5g每6小时一次)。住院第6天给予复查血培养,至第8天血培养未见细菌生长。医生建议行气管插管和气管镜检查,但患者拒绝。住院第8天,患者转院治疗。
专家点评4
假单胞菌属是一种需氧菌,因此厌氧菌血培养结果为浅黄假单胞菌很可能是判断错误。自动血培养系统就曾将鼠疫耶尔森菌误诊为浅黄假单胞菌。而鼠疫耶尔森菌感染是美国西部的地方性疾病,也好发于科罗拉多州。
浅黄假单胞菌感染极其罕见,只特发于免疫功能缺陷或接受器官移植的患者;这两点对于这名患者均不适用。这个病例中没有浅黄假单胞菌药敏的相关数据。但是将美罗培南改为哌拉西林他唑巴坦治疗可能是因为相关医疗机构中其他假单胞菌株存在碳青霉烯类耐药所致。
转院后,患者仍有持续发热,需面罩给氧10L/分钟。鉴于患者不断恶化的呼吸系统症状,给予患者气管插管及飞沫传染保护措施。也因此,患者不能再提供任何病史。插管后体检提示:患者两肺基底部对称水泡音,伴随呼吸运动发生;手部和腿部有皮下水肿。未发现明显皮肤病变、淋巴结肿大和肝脾肿大。
血肌酐水平下降至0.7mg/dL(62υmol/L),总胆红素水平下降至0.7mg/dL(12υmol/L),白蛋白为2.2g/dL,其他生化检查和肝功能均正常。白细胞计数为21600/mm3,未行白细胞分类计数。红细胞压积为35%,血小板计数为381000/mm3。胸片提示:双侧肺部浸润影进一步扩大(图1C)。

图1C. 患者住院第8天胸片显示两肺浸润影进一步加重。
继续给予静脉万古霉素、哌拉西林他唑巴坦和左氧氟沙星治疗。加用链霉素(15mg/kg每12小时一次)和伏立康唑(400mg每12小时一次)。患者接受了诊断性支气管镜检查及支气管肺泡灌洗。
专家点评5
患者持续发热及不断进展的临床症状强烈提示原有感染治疗方案的不足。而且这也基本除外了非感染性疾病的可能,如:药物反应,血栓或潜在癌症。在没有药敏数据的情况下,经验性使用哌拉西林他唑巴坦联合左氧氟沙星治疗是合理的。
但是,在使用了3种能有效治疗假单胞菌属的广谱抗生素情况下,患者的疾病仍在不断进展,这大大出乎意料。伏立康唑能有效治疗丝孢菌属感染(好发于溺水事故之后),故考虑给予使用。但是培养结果不支持革兰阳性菌感染,因此应给予停用万古霉素。
患者有鼠类接触史、疾病严重且进展迅速、起始抗生素治疗无效且血培养结果被误读,这些均强烈提示患者可能为肺型鼠疫;因此联用链霉素是合理的。土拉杆菌(兔热病)是一种革兰阴性鼠源性病原体,可累及肺部,对常规抗生素治疗无效。
但是土拉杆菌一般不会误读为假单胞菌属,而且兔热病很少发生咯血。当肺炎患者疑似鼠疫或兔热病时,就应采取飞沫传染保护措施。
住院第9天,从患者家属处了解,患者家中饲养有马、骆驼、山羊、绵阳、鸡和鹅,还有数只狗和猫作为宠物。患者及其家属经常饮用未经高温消毒的羊奶,有时也将这些未经高温消毒的羊奶给其饲养的狗饮用。
其中一只狗在患者起病前数天前出现了急性共济失调、呼吸困难伴咯血症状,发病后36小时内实施了安乐死。当时考虑这只狗是因为食用了含有香豆素的杀鼠剂所致。这些杀鼠剂是于数月前放在患者房屋周围用于杀灭草原土拨鼠的。
患者将狗的尸体送至兽医中心接受尸检,该动物体内未检测到灭鼠剂成分,初步死亡诊断考虑为重症支气管肺炎。患者仍有持续发热,呼吸机通气治疗中,吸氧浓度为70%。给予加用静脉多西环素治疗(100mg每12小时)。
专家点评6
患者房屋周围的草原土拨鼠进一步提示了鼠疫可能,因为草原土拨鼠是鼠疫杆菌的常见带菌源。其他人畜共患病,如布氏杆菌病、Q热病、隐球菌病和鹦鹉热,也不能除外。因为所有上述感染都可以以急性肺炎起病。
对于免疫功能正常患者,隐球菌肺炎往往为隐匿性、亚急性起病,合并体重减轻及盗汗;因此这名患者隐球菌感染可能性不大。饮用未经消毒的羊奶是布氏菌病和Q热病的常见危险因素,但是布氏菌病、Q热柯可斯体和衣原体感染患者很少会出现呼吸衰竭以至于需要气管插管的情况。
血培养未见有细菌生长。将首诊医院培养所得的假单胞菌送至科罗拉多公共卫生和环境部(CDPHE)接受进一步检验。
住院治疗第10天,CDPHE国家实验室通过聚合酶链反应证实,首诊医院培养所得的菌株为鼠疫杆菌,而不是浅黄假单胞菌。其他检查,包括:细菌和真菌培养、球孢子菌、隐球菌、组织胞浆菌、钩端螺旋体、汉坦病毒、立克次体、爱泼斯坦–布鲁氏菌、EB病毒和巨细胞病毒均为阴性。
停用哌拉西林他唑巴坦、万古霉素、伏立康唑和多西环素。继续使用链霉素和左氧氟沙星。
住院第14天,患者体温波动于38℃(100.4°F)到38.8℃(101.8°F)之间。吸氧浓度仍维持在70%的较高水平,呼气末正压为10cmH2O。复行胸部CT提示:无新发肺脓肿,但是肺部磨玻璃影进展为肺实变,双侧胸腔积液进一步加重。
考虑患者体温升高可能为药物热所致,故给予停用链霉素,改用庆大霉素(7mg/kg每24小时一次)。继续给予庆大霉素联合左氧氟沙星治疗,患者体温高峰逐渐下降。到住院第18天,患者体温恢复正常,吸氧浓度下降至50%。
住院第19天,患者拔管;住院第24天,患者出院,但仍需通过鼻导管吸氧4-6L/分钟。出院后5个月,患者不再需要吸氧,只有在剧烈活动时才会有呼吸困难症状。
公共卫生调查确诊患者死亡的宠物狗罹患鼠疫,同时发现了另外3例人感染鼠疫患者。宠物狗很可能就是这名患者和其他2名感染鼠疫患者的传染源;但是有一名人感染鼠疫患者曾经同时接触过患者和死亡的宠物狗,因此鼠疫的人际传播也不能除外。
病例讨论
鼠疫杆菌是一种革兰阴性、兼性厌氧芽孢杆菌或球杆菌,这种致病微生物会导致鼠疫的发生。鼠疫杆菌为非乳糖发酵,可以在麦康凯琼脂或血琼脂上生长。但是其培养菌落很小,常因其他肠杆菌科细菌的存在而被忽视;这也解释了这个病例中为什么没有在呼吸道样本中发现鼠疫杆菌。
过去全自动细菌鉴定系统曾将鼠疫杆菌误判为浅黄假单胞菌、鲁氏不动杆菌或假结核菌。疾病控制和预防中心将鼠疫杆菌列为A类(高危)生物制剂,生物安全等级为3级,对于培养标本必须采取预防措施。一旦发现疑似鼠疫杆菌,应立即通报给相关医院实验室和公共卫生部门。
本次病例中出现了延迟诊断,这导致有114人暴露于实验室标本和感染的患者前,这其中包括68名医疗工作者。88人进行了暴露后预防治疗,除了上述3个感染鼠疫病例以外,没有发现其他感染患者。若鼠疫杆菌培养显示为阴性,可通过急性期和恢复性血清学检查来得到明确诊断。
鼠疫杆菌分布于全世界温带到热带地区,在美国西部呈地方性流行。虽然鼠疫的传播与宠物猫狗密切相关;但是啮齿类动物,包括草原土拨鼠,仍是主要传染源。鼠蚤叮咬是导致人感染鼠疫的最主要传播途径,这会导致腺型鼠疫(占80%-90%)或没有明显淋巴腺炎的败血症型鼠疫的发生。
肺型鼠疫通常是由于鼠疫杆菌全身感染血行播散所致(继发性),极少情况下也可以由于直接吸入鼠疫杆菌所致(原发性)。据报道,原发性肺型鼠疫的潜伏期从数小时到6天不等。近距离(≤2米)接触感染宿主可导致疾病的播散。
这名患者应该是一名原发性肺型鼠疫患者,是从1925年到2006年来美国诊断出的第13例原发性肺型鼠疫患者。虽然鼠疫极少发生人际传播,但是若一旦出现疑似鼠疫杆菌感染应立刻采取飞沫传染保护措施。
且该措施应持续实施至适当抗生素治疗48小时后。在这个病例中,在患者转院后即采取了飞沫传染保护措施,患者发热缓解后该保护措施才予以解除。
腺型鼠疫往往急性起病,发病时可在鼠蚤叮咬处发生淋巴结炎,腹股沟腺炎最常受累。原发性肺型鼠疫发展更为迅猛,发病数小时可出现胸膜炎性胸痛、咳嗽、咳痰和痰中带血。
腺型鼠疫和肺型鼠疫均可伴随出现急起高热、乏力、肌痛和恶心。原发性肺型鼠疫影像学最常表现为斑片状浸润。原发性肺型鼠疫的发病率很低,但是未经治疗的原发性肺型鼠疫患者死亡率高达100%,治疗患者死亡率为50%。
目前缺乏人感染鼠疫抗生素治疗临床试验的相关报道。链霉素是治疗鼠疫的首选药物。但是鉴于链霉素的耳毒性及有限有效性,目前也可使用庆大霉素替代或链霉素联合庆大霉素治疗。使用氟喹诺酮类药物治疗鼠疫的相关数据也不多。
但考虑到此类药物的有效性及安全性,目前也将氟喹诺酮类药物用于鼠疫暴露后的预防。这位患者的幸存可能部分是因为初始即使用左氧氟沙星治疗(因为考虑为社区获得性肺炎)。
虽然目前几乎没有鼠疫杆菌药敏研究的数据,但是已有鼠疫杆菌对链霉素、四环素类、碳青霉烯类抗生素、氯霉素和氨苄西林耐药的报道。目前并不清楚鼠疫最理想的治疗时间。动物实验建议治疗10天,但是部分专家建议至少治疗至退热3天后。
虽然鼠疫是罕见病,但是各种鼠疫的死亡率和发病率都极高。对于急性起病的重症肺炎患者临床医生应考虑鼠疫的可能性,特别是那些免疫功能正常、曾在疫区停留的患者。了解鼠疫的常见临床表现有助于对这一致命性疾病早发现和早治疗。
查看信源地址